

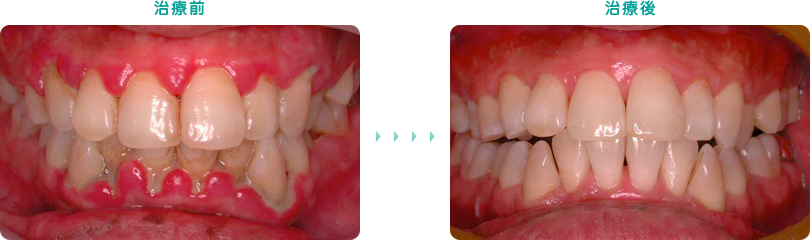
歯周病とは歯を支える組織に炎症が起きる病気で、その主な原因はプラーク(歯垢)の中の細菌です。
この細菌から出される毒素によって歯周ポケットが作られ、その中に歯周病菌がたまって炎症がひどくなり、骨がとけていきます。
歯周病が悪化すると、歯が抜け落ちてしまうこともありますので、
徹底したプラークコントロールと定期的な歯石の除去が最も重要になります。
また、近年歯周病の原因となる細菌が全身の様々な疾患に影響を与えていることを示す研究結果が発表されています。

※歯周病菌は全身にも影響を及ぼします。

歯周病の主な原因はプラーク(歯垢)の中の細菌です。
歯周病を治すには細菌の量を減らし、バイ菌の巣である歯石を取り除くことが必要です。
戸矢歯科医院ではペリオセーバー(位相差顕微鏡動画管理システム)を使用してお口の中の細菌類の検査、観察を行います。
歯周病の治療は「ブラッシング指導」「歯石除去(スケーリング)」「外科的処置」が基本的な治療です。
これらに加え進行状況にあわせてお薬で治療する「歯周病内科療法」を併用しています。

※ペリオセーバーで見た細菌(400倍)

従来の歯周病の治療は、こまめに歯石を除去したり、
外科的に切ったりといった処置が主な治療方法でした。
しかし歯周病は、細菌による感染症です。
その考えから当院では、位相差顕微鏡システムにて
歯周病の原因菌の種類・量を調べ、その方に合わせた内服薬を
処方する治療法「歯周内科治療」を導入しております。
「歯周病は歯周病菌による感染症」であるという考えから生まれた医学的根拠に基づいた全く新しい歯周病の治療方法です。


